Зачем нужны силовые тренировки женщине 35-40 лет и старше?
А чтобы не было как на фото.
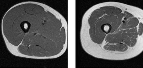
Слева на разрезе - здоровое тело, справа - с дефицитом мышечной массы, который называется саркопенией.
На самом деле, сейчас у многих женщин как справа на разрезе с подросткового возраста уже.
Спорта у многих не было в детстве, тяжелого физического труда сейчас даже у деревенских жителей не много. Откуда мышечной гипертрофии взяться, если тип конституции к ней не располагает?

И когда такие женщины приходят в зал и, показывая на тренера - бодибилдера, говорят, что не хотят так же перекачаться, у того обычно кроме мата, ничего в голову не приходит.

Они ни просто перекачаться не могут, они даже к норме обычно приблизиться не могут!
В моих базовых рекомендациях есть указание на необходимость силовых тренировок для таких вот женщин. Обычно начинают с формата фулбоди, это когда все основные группы мышц по кругу качают каждую тренировку.
Так достаточно заниматься первые 2-3 мес, потом переходят на классические программы с делением по группам мышц.
В случае если женщина со слабо развитой мышечной массой никогда в фитнес клубе не занимался, то перекачаться ей бояться не стоит. Максимум она сможет поддерживать в тонусе то, с чем пришла, немного улучшив исходную форму.
А как же классические женские направления: йога, пилатес, растяжка, групповые, плавание?
Все это подойдет для поддержания в тонусе того, с чем вы пришли, с небольшими улучшениями. Никаких заметных визуальных результатов не будет.
Так что не боимся перекачаться и стать фу - мужик. Вам этого бояться не надо точно.
А вот без регулярных физических нагрузок вас ждет масса возрастных проблем, которые лучше предотвратить, чем лечить!
Вся разница лишь в том, что правильные нагрузки дадут визуальный результат, а неправильные, только улучшение общего самочувствия, повышения тонуса, гибкости, выносливости и т. д.
Обычно регулярных грамотных тренировок достаточно 3-4 в недели по 1 часу, неправильных же получается значительно больше.
Многие приходят в зал 2-3 раза в неделю на 2-3 часа, посещают несколько групповых занятий подряд, а потом идут в бассейн и сауну. В итоге вместо 3-4 часов затрачивают до 9 часов, то есть в 3 раза больше, не получая должного визуального результата.
PS я не написал сейчас про главное, что всё это надо делать на фоне антивозрастной терапии, правильного питания, коррекции всех выявленных дефицитов, достаточного сна и т. д.